السقوط وسوء التغذية مع الاستهلاك المفرط للمشروبات الغازية من عوامل حدوث الكسور عند الأطفال*

الاحساء -زهير بن جمعة الغزال
نصح متخصص في جراحة العظام بمستشفيات الحمادي بالرياض بضرورة اتباع الخطوات التي تحمي الأطفال من الكسور لأن البعض منهم أكثر عرضة من غيرهم،ومن ذلك حصول طفلك على ما يكفي من فيتامين(د)، والكالسيوم،وممارسة الرياضة لتقوية العظام،والتعرض للشمس.
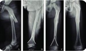
وقال الدكتور صبري زيادة استشاري جراحة العظام بمستشفيات الحمادي بالرياض زميل الأكاديمية الأميركية لجراحة العظام: أن معالجة الكسور لدى الأطفال تختلف عنها لدى البالغين حيث لدى الأطفال عدد من الظواهر المميزة التي تؤثر بدورها على التئام الكسور،مثل:قدرة كبيرة على النمو وبناء العظام،وقدرة على الترميم التلقائي،مشيراً إلى أنإصابة أقراص[مراكز] النمو الموجودة في طرفي العظام قد تسبب إضطرابًا جديًا في النمو؛ولذلك يتوجب الحرص والدقة في التشخيص بواسطة صور الأشعة السينية عند حدوث أي كسر بالقرب منها،ويمكن أن تحدث الأعراض بشكل مختلف قليلًا في كل طفل؛فالأعراض الأكثر شيوعًا إذا حدوث كسر لطفلك:ألم،وتورم،وتغير واضح في شكل الطرف المصاب،ألم عند تحريك الطرف،ودفء مكان الكسر،مع إحمرار أو إزرق مكان الإصابة.
ويوضح استشاري جراحة العظام بمستشفيات الحمادي إلى أن هناك عدد من الأسباب والعوامل لخطر الكسور الشائعة لدى الأطفال؛فمن أسباب الكسور الشائعة لدى الأطفال:السقوط،والعوامل الوراثية،وسوء التغذية بما في ذلك عدم كفاية تناول الكالسيوم الغذائي،وتجنب الحليب،والاستهلاك المفرط للمشروبات الغازية،وقلة النشاط البدني،والسمنة،والتعرض للصدمات،ويتم تشخيص الكسور الشائعة لدى الأطفال،من خلال:الفحص السريري،والتصوير الإشعاعي، وتشمل ما يأتي:الأشعة السينية،والأشعة المقطعية، والتصوير بالرنين المغناطيسي في بعض الحالات.
أما مضاعفات الكسور عند الأطفال:التأم خاطئ للكسر ينتج عنه انحراف في الطرف،وتأخر أو عدم التأم الكسر،وإعتلال نمو العظم اذا أصاب الكسر مركز النمو، والتهاب مكان الكسر إذا كان كسر مفتوح.
وأشار الدكتور صبري زيادة إلى أن علاج كسور الأطفال يعتمد على نوع الكسر ودرجة الإزاحة:
1.العلاج الغير جراحي
الكسور المستقرة وبدون إزاحة تعالج بوضع جبيرة أو جبس على الطرف المصاب.
وبالنسبة للكسور المائلة أو المزاحة،وتحتاج رد الكسر دون جراحة،وهذا الإجراء يسمى رد مغلق (Closed reduction).
2.العلاج الجراحي في بعض الحالات يلزم إجراء جراحة لمحاذاة قطع العظام وتثبيتها بالأسلاك أو الصفائحُ والمسامير المعدنية،حيث قد يوصي طبيبك بإجراء جراحة إذا:اخترق العظم الجلد وهذا النوع من الإصابات يسمى الكسر المفتوح وهو معرض لخطر الإصابة بالعدوى ويتطلب علاجًا محددًا.




